Smile Gallery

Veneers Before & After Gallery

Real Patient Cases Before and After from McLean Aura Dentistry in McLean, VA from Dr. Negar Tehrani, DMD your top dentist in McLean
Real Patient Cases Before and After from McLean Aura Dentistry in McLean, VA from Dr. Negar Tehrani, DMD your top dentist in McLean
Real Patient Cases Before and After from McLean Aura Dentistry in McLean, VA from Dr. Negar Tehrani, DMD your top dentist in McLean
Real Patient Cases Before and After from McLean Aura Dentistry in McLean, VA from Dr. Negar Tehrani, DMD your top dentist in McLean

Before and After Experience

We all know how important it is to smile in your wedding pictures. Glad we are behind this beautiful bride’s smile only by performing 1 crown and 3 veneers.

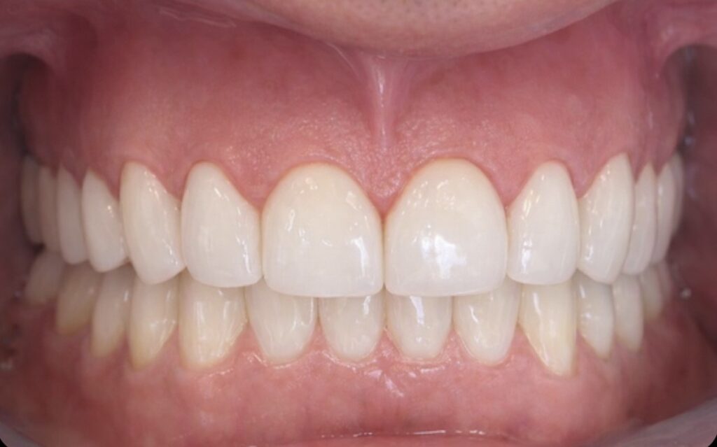
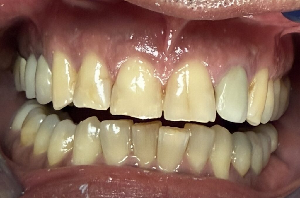
Maxillary Anterior Veneers

Real Patient Cases Before and After from McLean Aura Dentistry in McLean, VA from Dr. Negar Tehrani, DMD your top dentist in McLean
Real Patient Cases Before and After from McLean Aura Dentistry in McLean, VA from Dr. Negar Tehrani, DMD your top dentist in McLean

Full Mouth Reconstruction

J.X. Before and After Experience

Our beloved patient R.I.P J. X. had came to us with severe wear and tear on all his teeth as well as number of teeth with infection that required root canal therapy. Some teeth that were not salvageable and had to be removed and replaced by implants and bridges. Patient had to go through a full mouth rehabilitation and the result was an enhanced function, health and aesthetic.
Real Patient Cases Before and After from McLean Aura Dentistry in McLean, VA from Dr. Negar Tehrani, DMD your top dentist in McLean
Real Patient Cases Before and After from McLean Aura Dentistry in McLean, VA from Dr. Negar Tehrani, DMD your top dentist in McLean
Real Patient Cases Before and After from McLean Aura Dentistry in McLean, VA from Dr. Negar Tehrani, DMD your top dentist in McLean
Real Patient Cases Before and After from McLean Aura Dentistry in McLean, VA from Dr. Negar Tehrani, DMD your top dentist in McLean
Real Patient Cases Before and After from McLean Aura Dentistry in McLean, VA from Dr. Negar Tehrani, DMD your top dentist in McLean
Real Patient Cases Before and After from McLean Aura Dentistry in McLean, VA from Dr. Negar Tehrani, DMD your top dentist in McLean

V.Y. Before and After Experience

There is nothing more rewarding than seeing a joyful smile on your favorite patient’s face. V.Y. is a long-time patient of ours who had numerous old and defective dental work done in her native country. What a great pleasure to see her so happy with the result of her full mouth rehab. She had her treatment done under sedation which minimized her discomfort and distress during the procedure.
Real Patient Cases Before and After from McLean Aura Dentistry in McLean, VA from Dr. Negar Tehrani, DMD your top dentist in McLean
Real Patient Cases Before and After from McLean Aura Dentistry in McLean, VA from Dr. Negar Tehrani, DMD your top dentist in McLean
Real Patient Cases Before and After from McLean Aura Dentistry in McLean, VA from Dr. Negar Tehrani, DMD your top dentist in McLean
Real Patient Cases Before and After from McLean Aura Dentistry in McLean, VA from Dr. Negar Tehrani, DMD your top dentist in McLean

Mr. R.L. Before and After Experience

Our dear patient Mr. R.L. had generalized wear and tear in all his teeth and numerous old and defective existing restoration. He was extremely pleased with his final appearance due to his Full mouth rehabilitation

Anterior Dental Crowns

B.M. Before and After Experience

B.M. had a smile that was overshadowed by discolored and aging dentition. All it took for this beautiful smile to brighten our day was 8 veneers on the upper teeth.
Real Patient Cases Before and After from McLean Aura Dentistry in McLean, VA from Dr. Negar Tehrani, DMD your top dentist in McLean
Real Patient Cases Before and After from McLean Aura Dentistry in McLean, VA from Dr. Negar Tehrani, DMD your top dentist in McLean
Real Patient Cases Before and After from McLean Aura Dentistry in McLean, VA from Dr. Negar Tehrani, DMD your top dentist in McLean
Real Patient Cases Before and After from McLean Aura Dentistry in McLean, VA from Dr. Negar Tehrani, DMD your top dentist in McLean
Real Patient Cases Before and After from McLean Aura Dentistry in McLean, VA from Dr. Negar Tehrani, DMD your top dentist in McLean
Real Patient Cases Before and After from McLean Aura Dentistry in McLean, VA from Dr. Negar Tehrani, DMD your top dentist in McLean

Before and After Experience

Coming Soon!

Mrs. D.J. Before and After Experience

Our beautiful patient Mrs D.J. loves to smile and light up the room with her smile wherever she goes. Unfortunately, her beautiful smile was getting overshadowed by the old and failing dentistry she had in her mouth. We are so happy we could enhance her beautiful smile by replacing her old crowns and performing full mouth rehab in her upper arch
Real Patient Cases Before and After from McLean Aura Dentistry in McLean, VA from Dr. Negar Tehrani, DMD your top dentist in McLean
Real Patient Cases Before and After from McLean Aura Dentistry in McLean, VA from Dr. Negar Tehrani, DMD your top dentist in McLean
Real Patient Cases Before and After from McLean Aura Dentistry in McLean, VA from Dr. Negar Tehrani, DMD your top dentist in McLean
Real Patient Cases Before and After from McLean Aura Dentistry in McLean, VA from Dr. Negar Tehrani, DMD your top dentist in McLean

C.X. Before and After Experience

Our young patient C. X. had an accident at a young age which led to her losing 2 of her front teeth. The patient was referred to us by an Oral Surgeon who had attempted bone graft twice but couldn’t develop enough bone to place implants. We had to utilize pink porcelain to restore the gum line and replace missing teeth by a 4-unit bridge. The result is a beautiful smile considering all the limitations.

Skip to content